一根尖锐的鹅骨,一次惊险的误吞,一场与时间赛跑的生命救援!在乐东县人民医院,凭借专家的敏锐判断与多学科的紧密协作,成功将患者从危险边缘拉回,用实力诠释“健康防线,就在身边”!
细微之处见真章:敏锐判断锁定病因
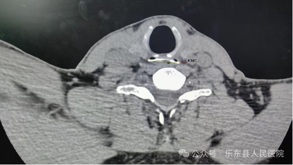
患者刘先生因误吞鹅骨,1小时后带着剧烈咽痛与异物感紧急就医。海医二院派驻专家卢大松副主任医师迅速响应,在喉内镜检查无果的情况下,凭借多年临床经验,从患者吞咽时的明显胸痛中捕捉到关键线索——”高度怀疑食管异物!”他立即启动绿色通道,亲自护送患者进行急诊食管三维CT检查,影像结果精准锁定“罪魁祸首”:食管入口处尖锐骨片赫然显现!

精湛医术除隐患:手术成功化险为夷
这场与时间赛跑的手术,面临着双重严峻考验:一方面,患者饱腹状态让全麻存在极高误吸风险;另一方面,尖锐骨片如同隐藏的“刀片”,稍有不慎便会刺穿食管,引发大出血等致命后果。
麻醉科团队在精准评估后,为患者实施个体化麻醉方案。电子胃镜缓缓探入,内镜画面清晰显示尖锐骨片死死嵌在食管壁上。消化内镜团队沉着应对,采用“透明帽辅助+异物钳”技术,以毫米级的操作精度,仅用3分钟便将尖锐骨片完整取出!手术全程实现零出血、零穿孔,成功解除体内”定时炸弹”。

争分夺秒施救援:多科联动共克难关
这不是一个人的战斗,而是多学科协作的完美诠释: 17:20 五官科首诊,敏锐捕捉异常体征;18:17 放射科快速定位,锁定异物位置; 18:25多学科会诊,制定最佳手术方案;21:20 消化内镜团队精准”拆弹”。
从首诊到手术完成,仅用4小时便完成这场高难度救援!相较于常规6小时的禁食等待,通过科学评估与多学科协作,成功为患者争取到宝贵的救治时间。这不仅展现了乐东县人民医院五官科-影像-麻醉-内镜无缝衔接的高效救治体系,更彰显了医护团队守护生命的责任与担当!
食管异物科普小贴士
1. 高危人群与常见异物:儿童易误吞硬币、纽扣电池等小物件;老年人因佩戴假牙、咀嚼不充分,易误吞鱼刺、骨头;成年人则可能因进食过快吞下鸡骨、鱼刺等尖锐物。
2. 紧急处理误区:切勿采用吞咽饭团、喝醋、抠喉等“土方法”!饭团可能将异物越推越深,损伤食管;喝醋无法软化骨头;抠喉可能导致咽部损伤或异物移位。
3. 正确应对措施:一旦怀疑食管异物,应立即停止进食饮水,保持安静,尽快前往医院就诊。若患者处于饱腹状态,需主动告知医生,避免麻醉风险。
4. 日常预防建议:儿童玩耍时避免口含小物件;老年人进食应细嚼慢咽;家庭烹饪时将鱼骨、禽骨剔除干净;进食时避免谈笑、打闹。
此次成功救治,展现了乐东县人民医院专家团队精湛的医术、高度的责任感,以及多学科协作的强大力量。在海医二院下沉专家何和与院长的领导下,医院始终坚持以患者为中心,不断提升医疗技术水平与应急救治能力,让乐东百姓在家门口就能享受到优质、高效的医疗服务,为群众的生命健康保驾护航!(杨丽娜 邢肖蕊)
文章链接:https://www.ehnjk.com/article/9456.html