在新疆,有位52岁的徐先生,左眼视力下降的困扰已经伴随他长达8年。起初,只是视物有些模糊,可随着时间推移,视力越来越差,到最后,他只能勉强看到眼前或手部晃动的影子。这8年里,他辗转多家医院,得到的答复却如出一辙:“脉络膜血管瘤位置太特殊,就在黄斑区,治疗效果不好,风险还特别高。”这让徐先生陷入了无尽的犹豫和绝望。
偶然的一次机会,徐先生在海南医科大学第一附属医院的微信公众号上,看到了黄雄高教授团队在复杂眼底肿瘤手术领域取得的突破性成果。特别是了解到团队成功实施了省内首例脉络膜血管瘤微创切除术,这让徐先生重新燃起了希望。他毅然决定跨越5000公里,从新疆奔赴海南求医。在眼科门诊,黄雄高教授了解到徐先生的左眼视力下降已经8年多了。
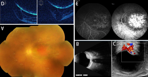
术前检查显示,左眼视力(Vos)只能看到眼前30厘米处手动,眼前节检查无明显异常。眼底检查发现:约3/4的视网膜脱离,隐约能看到后极部黄斑区有一个圆形橘色隆起病灶,大小约7*8PD,位于血管弓以内,边界清楚。B超检查显示视乳头旁有个椭圆形高回声病灶,病灶周围视网膜浅脱离;OCT检查发现视网膜脱离并伴有囊样变性,网膜下脉络膜高度隆起;FFA/ICGA检查显示早期黄斑血管弓内有粗大的脉络膜血管影,而且增强得很快。最终,徐先生被诊断为左眼后极部脉络膜血管瘤。

术前检查:A.眼底照相 B.B超 C.彩超 D.OCT E.FFA/ICGA
直面挑战:肿瘤侵袭黄斑区
脉络膜血管瘤虽属良性肿瘤,但徐先生的病灶在视网膜核心功能区——黄斑区,而且已经引发了局部视网膜脱离。传统的激光或光动力疗法很难彻底清除病灶,要是强行切除,又可能损伤视网膜色素上皮(RPE)细胞,导致永久性视力丧失。面对如此复杂的病情,黄雄高院长团队经过多学科会诊,决定采用国际前沿的“玻璃体切割+脉络膜肿瘤切除+视网膜色素上皮层联合脉络膜移植术”治疗方法,为徐先生量身定制了“保眼球、救视力”的一站式解决方案。
RPE脉络膜移植技术点亮复明希望这场手术的核心突破在于RPE脉络膜移植技术,这也是海南省内首次将该技术应用于脉络膜血管瘤治疗。黄雄高院长带领团队,历经3小时的精细操作,成功完成了手术。手术有四大关键步骤:
第一步是微创玻璃体切除,通过25G巩膜微小切口,清除玻璃体浑浊,让肿瘤暴露出来。
第二步是精准肿瘤剥离,在术中用毫米级的精度,将粘连的视网膜与血管瘤分离,完整切除了直径达10*9mm的病灶。
第三步是RPE脉络膜移植,从患者自体健康眼区提取RPE-脉络膜复合体,精密移植到肿瘤切除后的缺损区,重建视网膜代谢屏障。
最后一步是视网膜复位,采用硅油填充支撑视网膜,确保移植组织稳定存活。
术后,徐先生的视力逐渐有了变化。术后第一天,左眼视力(Vos)还是HM/30cm,眼压正常;术后1月,Vos提升到FC/30cm,眼压正常;术后3月,Vos进一步提升到FC/50cm,眼压正常。病理报告显示,切除的组织为大量血管管腔结构,富含血细胞,确诊为脉络膜血管瘤。术后第1天Vos:HM/30cm, IOL:19mmHg

A.眼底彩照 B.OCT C.FFA/ICGA D.眼前段照相 E.右眼视网膜血管 F.右眼脉络膜层 G.左眼视网膜血管 H.左眼脉络膜血管网
里程碑意义:新技术改写终末期治疗困局修复视网膜“生命膜”:RPE层是维持视网膜功能的核心结构,移植技术能有效防止术后视网膜萎缩、视功能丧失。而且,自体移植避免了排异反应,术后植片生长良好,视力从术前的HM/30cm提升至CF/50cm。更重要的是,这项技术改写了终末期治疗困局,为既往被判“无法手术”的黄斑区肿瘤患者提供了治愈可能。
黄雄高教授作为省内眼底外科的领军人物,曾在美国哈佛大学深造。面对徐先生的复杂病例,他创新性地提出“解剖切除+功能重建”双核心策略,强调不仅要切除肿瘤,更要修复被破坏的视网膜微环境,这才是视力长期稳定的关键。
术后第3个月,医生为徐先生取出眼内硅油,此时他的左眼视网膜完全平伏,移植区血供良好。徐先生激动地说:“现在我能看清亲人的脸了,这是八年来最幸福的时刻!”黄院长表示:“RPE移植技术的成熟,标志着我们从‘挽救眼球’迈入‘重建视功能’新阶段。未来将探索干细胞联合移植,让更多患者重获高质量视觉。”取油剥膜术后1周 Vos:CF/50cm, IOL:16mmHg
从新疆的雪域边疆到海南的热带琼岛,徐先生的求医之路,是医患携手攻克顽疾的生动写照。海南医科大学第一附属医院眼科以敢为人先的创新精神,不断突破技术禁区,为眼疾患者点亮“看得见的希望”。(令狐敏丽)
文章链接:https://www.ehnjk.com/article/9532.html